6月11日16:41,贾家医院胸急诊科接到一位大汗淋漓的患者,自述胸痛两个多小时。医生谢辉询问病史及简单查体后,考虑为高危胸痛,立即联系重症医学科副主任彭世彬医师会诊,经心电图等检查后诊断为急性ST段抬高型前间壁心肌梗死。
入院时:V1-V3导联ST段抬高T波高尖,ST段抬高约0.4mV;诊断:急性前间壁ST段抬高型心肌梗死。
对于心肌梗死患者,时间就是生命。院胸痛中心立即启动该患者的静脉溶栓流程并积极与患者及其家属沟通溶栓的必要性及风险,在取得患者及其家属同意后,立即进行了静脉溶栓并密切监测各项指标。
溶栓完成80分钟左右:V1-V3导联ST段抬高,ST段抬高约0.2mV,回落约50%;提示溶栓成功。
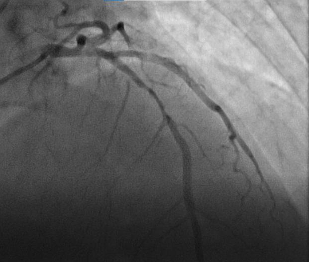
静脉溶栓后1小时,患者的胸痛明显缓解,心电图抬高的ST段回落;90分钟左右患者未再诉胸痛,心电图抬高的ST段回落超过50%,出现了频发室性早搏,考虑心肌再灌注后的心律失常,查电解质示低钾血症,予以静脉补钾后患者心律失常消失,提示静脉溶栓成功。度过关键期后,患者于6月12日顺利转入上级医疗机构行支架置入治疗。
通过溶栓治疗,让患者成功逃离了死神的追捕,获得了新生。这是贾家医院于5月27日正式启动基层胸痛中心建设后,来院的首例胸痛患者并顺利抢救成功,这标志着贾家医院的胸痛中心工作向专业化、规范化、标准化迈进,从而更好地服务片区群众。(彭世彬)








