(脑外科手术)
对于大多数老百姓来说,印象中的脑外科手术均为大手术,很多人更是"谈颅色变"。因为一提到开颅手术,大家的第一反应就是风险高,创伤大、并发症多,后遗症严重等,特别是遇到颅内肿瘤手术患者和家属自然都会产生莫名的恐惧。
和大多数患者一样,家住郫都区的57岁的范女士也是如此。1年多前,范女士因面瘫行头部CT检查发现颅内鞍区占位。范女士当时认为占位病变不大,症状不重,又想到需要"开颅"动手术,这让她打起了退堂鼓,这一退便等了1年。直到2个月前,范女士开始出现视力下降的表现,并伴有头痛、头昏等不适,便到医院行头部MRI检查发现:鞍区占位较之前明显增大。这可将范女士愁坏了,立即和家人于6月份到郫都区人民医院神经外科就诊。本已做好开颅手术心理准备的范女士,却万万没有想到,医生既没有给自己开刀,也没有留下任何疤痕,就将颅内的肿瘤顺利切除了。
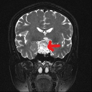
(术前检查发现肿瘤)
原来,在就诊过程中,根据患者的临床表现及检查结果,神经外科何吉洪主治医师考虑其鞍区占位为垂体瘤的可能性较大。垂体瘤是神经系统非常常见的肿瘤,大概占到颅内肿瘤的15%左右。以前垂体瘤开颅手术不仅创伤大,恢复困难,且手术稍有不慎极易造成大出血。近年来,随着神经内镜技术的发展,相比于以往,垂体瘤手术已变得越来越微创。
(神经外科团队正在讨论患者治疗方案)
据何医生介绍,神经内镜技术可以从鼻孔入路,利用自然的腔隙直接到达垂体瘤。相比传统显微镜手术,医生可通过神经内镜全程直视下切除肿瘤,让许多在显微镜下无法看到的部位暴露无遗,肿瘤切除更加彻底。同时,由于神经内镜的微创效果,使得垂体瘤患者的术后并发症如尿崩、垂体功能低下、术区出血等较显微镜明显减少,大大缩短了患者的手术时间和住院时间。
(术后医生正在查看患者视觉功能恢复情况)
范女士入院后,神经外科全体医师综合讨论了患者病情,并为范女士制定了详细的神经内镜手术方案。完善相关术前准备后,6月25日,科主任任民副主任医师带领神经外科团队为患者在全麻下行"神经内镜经鼻蝶入路垂体瘤切除术+视神经减压术",实现了垂体肿物的内镜下全切,有效解除视神经压迫症状。患者术后3天,自觉视觉功能较术前有明显好转,垂体激素恢复正常,无明显脑脊液漏出现。通过神经外科医护团队的精心治疗和照顾,现已康复出院。
(术后检查显示肿瘤已切除)
出院时,范女士高兴地说道:"真没想到这次做这个颅内肿瘤手术又没开刀,又没留疤,要是我自己不说,都没人晓得我动了个手术哦!"
随着神经外科的发展,神经内镜经鼻蝶切除垂体瘤已经广泛应用于临床,具有手术时间短,病人损伤小,利用鼻腔天然通道不会对外貌产生影响,病人恢复快,三天就可以下床活动,十天左右就能出院,住院费用少,并发症少等优点,已经成为垂体瘤的首选治疗方法。我院现在常规开展神经内镜经鼻蝶垂体瘤切除手术,已治愈多例患者,效果良好。(黄明星 )








