儿科通讯员报道:2022年5月9日,华西二院眉山市妇女儿童医院儿科呼吸专业团队仅用14小时快速确诊一例困扰家长多日的气道异物患儿。
黄某某是一位2岁7月的男孩,5月2日受凉后流涕,偶有单声轻咳,就诊于成都某区二级甲等妇幼保健院,服药治疗。5月4日患儿突然咳嗽加剧,频繁阵发性刺激高调干咳,活动后喘息、气促,入该医院住院输液、雾化等治疗,无好转,5月8日零时开始出现发热,体温最高达39.2℃,尽管给予了抗感染、退热处理,但患儿高热不退,频咳不止,眼见医院束手无策,焦急的父母想到了曾经多次就诊并得到良好治疗的四川大学华西第二医院眉山市妇女儿童医院,他们应该有办法,当即顾不上办理出院,甚至边输液针头都没有拔就立即包车前往我院。
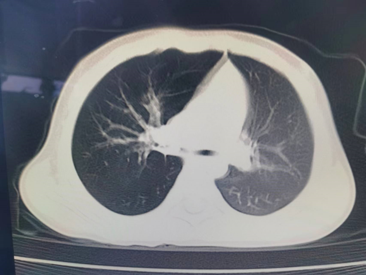
该院儿科呼吸专业团队的医生们,仔细询问患儿发病的整个经过后得知患儿咳嗽突然加重前曾进食过花生,并发生过剧烈呛咳,此后咳嗽一直无缓解,且活动后有气促、喘息,继而出现发热,虽经抗感染、抗炎平喘治疗,无改善。既往 有过3次喘息发作。能过仔细的体格检查发现患儿呼吸增快,右侧呼吸音较左侧减低,双侧闻及多量中细湿罗音和双相喘鸣音。认真分析后疑诊:气管异物伴肺部感染,立即行胸部CT扫描。5月9日10时许,CT扫描报告:右侧主支气管内见一大小约0.5cm结节状影,多系支气管异物,右肺呈肺气肿改变,右肺上叶前段、中叶及下叶散在炎症右肺中叶部分肺不张。真相大白,距患儿入院仅约14小时。
图1 箭头所示,高分辨CT下,右侧主支气内的罪魁祸首无处遁形
鉴于医院尚未开展支气管镜诊疗技术,经与家长沟通,依托紧密型医联体转诊绿色通道,当日将患儿转入四川大学华西第二医院。后期随访,5月9日,全麻下支气镜取出半粒花生米。术后患儿咳嗽立即缓解,体温下降,目前继续治疗恢复中。
图2罪魁祸首——半粒花生米
“气管异物在儿科临床并不少见,其对患儿危害因异物的大小、形状、性质,阻塞气道的位置不同而不同,严重的可导致患儿窒息死亡或致残,小的异物如不及时取出可导致肺部感染迁延不愈。气管异物的诊断主要依靠进食时突然剧烈的呛咳史,及其后难以控制的咳嗽、喘息,肺部听诊呼吸音可能不对称,可以闻及喘鸣及水泡音。胸部CT有助于明确诊断且可以观察到异物位置,支气管镜检查具有确诊并同时治疗的优势,但技术难度更大。在CT和支气管镜应用前,气管异物主要依据临床病史和体征进行诊断,对病史提供不准确的患儿,常易误诊为喉炎、哮喘等疾病,误诊时间长达数年甚至数十年的病例过去时见报道。本症的预防措施主要有:1.尽量不要给小孩喂食花生、瓜子之类的坚果;2.养成良好的进食习惯,进食时不要说话、打闹和说笑。”儿科主任金鸿医生介绍说。
四川大学华西第二医院眉山市妇女儿童医院儿科呼吸专业团队秉承一切为了患儿的服务理念,发挥团队的丰富临床经验,充分利用医院先进诊疗设备,使本例成为了快速确诊的气管异物经典案例。该科正积极筹备开展小儿支气管镜诊疗技术,争取完成该类疾病患儿诊疗救治工作最后一公里。(医师报陈远航)








